Clinical intelligence for the healthcare ecosystem.
Continuing Education
Sourcing & Logistics
Sterile Processing
Infection Prevention
Surgical/Critical Care
Sections
Continuing Education
Sourcing & Logistics
Sterile Processing
Infection Prevention
Surgical/Critical Care
Patient Satisfaction
Special
Events
Videos
Webinars
White Papers
Podcasts
HPN Source Guide
Contact
Newsletter Subscription
Magazine
Magazine Subscription
Advertise
Contact Us
Affiliated Brands
HEALTHCARE INNOVATIONS
MEDICAL LABORATORY OBSERVER
Follow us on
https://www.facebook.com/hpnonline
https://www.linkedin.com/company/healthcare-purchasing-news/
https://twitter.com/HPN_Online
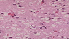
Infection Prevention
Scientists develop “mini-brain” model of human prion disease
June 17, 2019
Photo courtesy Centers for Disease Control and Prevention
Sign up for our eNewsletters
Get the latest news and updates
Sign Up
Related
Two Decades Later, Are We Safer? Revisiting Sharps Injury Prevention in U.S. Healthcare
From Crisis to Capability: Strengthening Healthcare Supply Chains
Trending
Beyond the Back Room: Why Certified Sterile Processing Technicians Deserve Recognition, Reclassification, and Better Pay
Load More Content