Johns Hopkins leading global fight against TB
To address the global burden of tuberculosis (TB), one of humankind’s oldest scourges, an international collaboration led by Johns Hopkins Medicine has been awarded up to $200 million in research funding over five years by the U.S. Agency for International Development (USAID) Supporting, Mobilizing and Accelerating Research for Tuberculosis Elimination (SMART4TB) project.
The cooperative agreement will support studies to improve TB detection methods, treatments, containment and control strategies, and prevention. Additionally, it will strengthen research efforts in countries with high TB burdens and will transfer knowledge and capacity to local, regional and national governments, health institutions and support organizations.
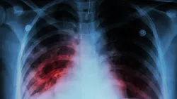
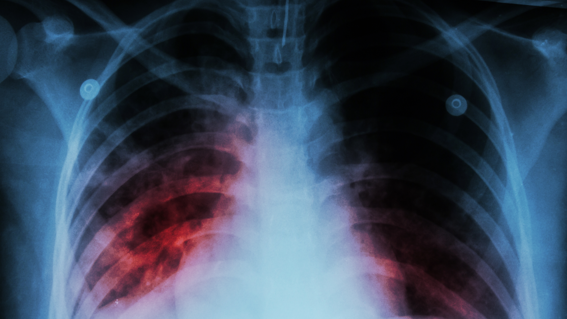
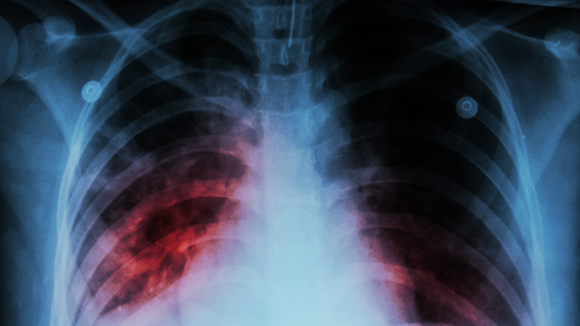
According to the World Health Organization (WHO), TB has been the leading cause of death worldwide from a single infectious agent (the microbe Mycobacterium tuberculosis) for most of the past decade (COVID-19 surpassed it in 2020). TB is responsible for some 1.5 million fatalities annually and greater than 30 million since 2000.
The WHO also reports that last year, TB case detection was down 20% and mortality rates rose for the first time since 2012 — a disturbing trend directly attributable to the COVID-19 pandemic and efforts to mitigate it.
Because of TB’s tremendous impact on global health, the WHO has repeatedly stressed the critical importance of research — like that which will be funded by the cooperative agreement that has been announced — toward permanent elimination of the disease.
“This extraordinary investment from USAID will enable us to have a transformational impact on global efforts to end TB and will provide unparalleled research, strategic development and policy support opportunities for Johns Hopkins Medicine and our collaborators around the world over the next five years,” says SMART4TB consortium chief of party Richard Chaisson, M.D., director of the Center for Tuberculosis Research and professor of medicine at the Johns Hopkins University School of Medicine. “Additionally, we’ll be able to strengthen and empower the people, organizations and communities directly fighting TB in the areas most affected by the disease.”
Partnering with Johns Hopkins Medicine in the SMART4TB consortium are the University of California, San Francisco, Center for Tuberculosis; the KNCV Tuberculosis Foundation; the Elizabeth Glaser Pediatric AIDS Foundation; the Treatment Action Group; and the following five regional hubs:
· Kyrgyz State Medical Academy (Kyrgyzstan, Afghanistan, Pakistan, Tajikistan, Ukraine and Uzbekistan)
· Walimu (Uganda, Democratic Republic of Congo, Ethiopia, Kenya, Nigeria and Tanzania)
· PHRU/Wits Health Consortium (South Africa, Malawi, Mozambique, Zambia and Zimbabwe)
· YRG Care (India and Bangladesh)
· VICTORY Network (Vietnam, Burma, Cambodia, Indonesia and the Philippines)
“With the help of the regional hubs, we’ll be able to mentor and support investigators and communities in countries with high-TB burdens as full partners, and commit the majority of our funding to key organizations in those areas in order to catalyze a transition of TB research to local leadership,” says Chaisson. “In that way, the SMART4TB consortium and these partners can identify person-centered methods for finding, treating and preventing TB; strengthen local capacity to conduct high-quality research; and engage communities to build demand for new interventions, drive policy change and improve implementation of anti-TB efforts.”
Chaisson adds that the consortium can look to another Johns Hopkins Medicine-led international program, the Zero TB in Tibetan Kids project, for a successful model to emulate.
“That effort — incorporating Johns Hopkins Medicine expertise and done in close partnership with Tibetan refugee health, education and community groups — conducted school-based screenings and implemented novel drug regimens for Tibetan refugee children living in India who were suffering from TB at a rate five times higher than that of Indian children,” explains Chaisson. “As a result, TB incidence in these children was reduced 80% in just three years.”
“Johns Hopkins Medicine has been on the forefront of discovery and developing new tools to prevent and treat TB,” says Amita Gupta, M.D., M.H.S., director of the Division of Infectious Diseases and professor of medicine at the Johns Hopkins University School of Medicine. “With this incredible award, we can work with partners around the world to make a big impact on the global goal of TB elimination.”
USAID administers the U.S. foreign assistance program that provides economic and humanitarian assistance in more than 80 countries worldwide.
