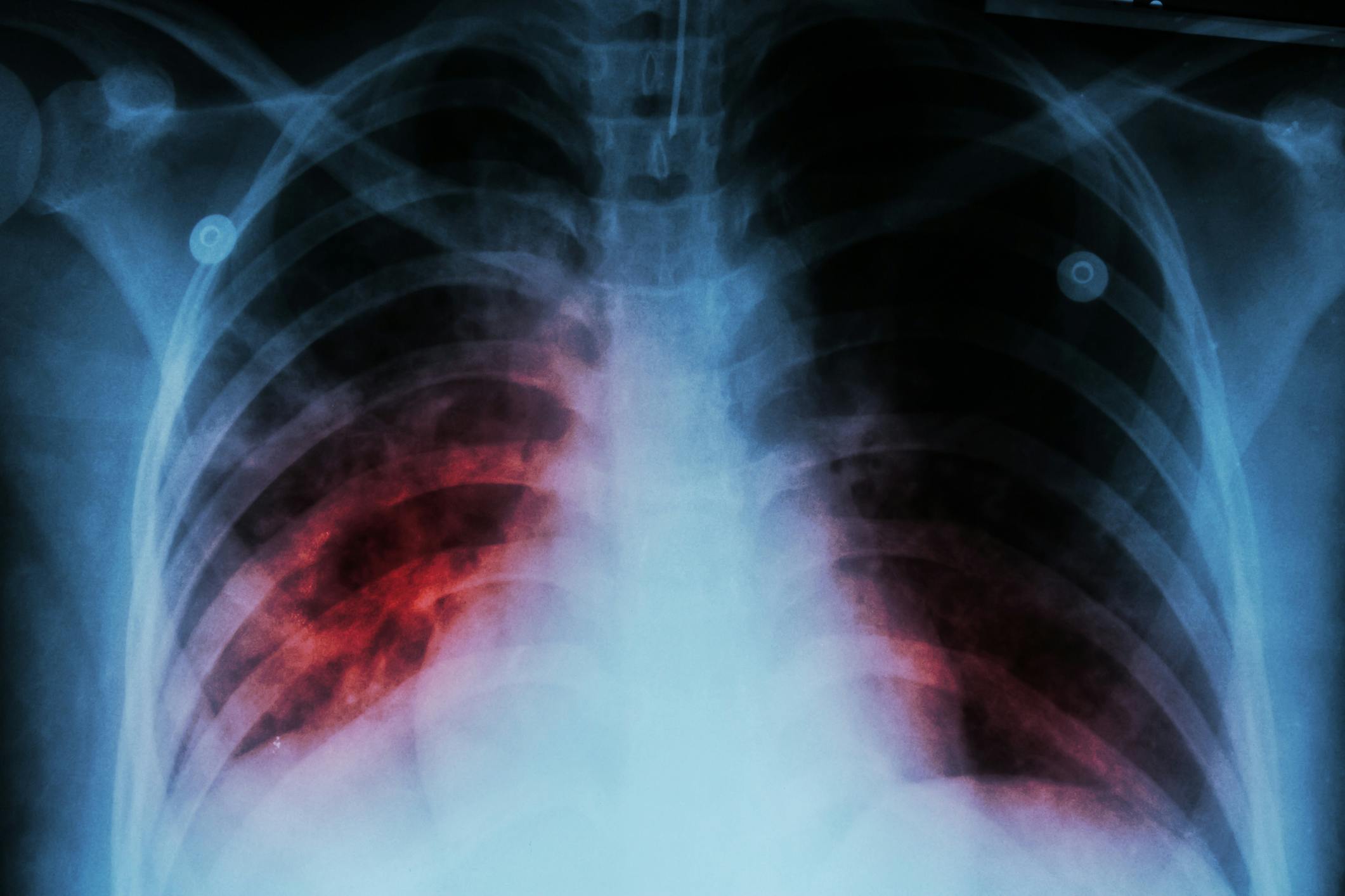
Study of More-Sensitive TB Test Found Positive TB Results Far More Prevalent Than Expected
Key Highlights
- A highly sensitive TB test detected TB DNA in 12.3% of hospitalized patients, much higher than the 2% in controls.
- The study suggests the existence of a previously unrecognized form of TB, called paucibacillary TB, with bacterial levels too low for conventional detection.
- Results imply that many TB cases in the U.S. may go undiagnosed, representing the hidden part of the 'iceberg' of TB infections.
- Most TB cases in the U.S. are reactivations of infections acquired years earlier, complicating diagnosis and control efforts.
- Further large-scale research is needed to confirm these findings and potentially reshape TB diagnostic strategies.

