RSNA: Black Patients Face Delays in Alzheimer’s Diagnosis
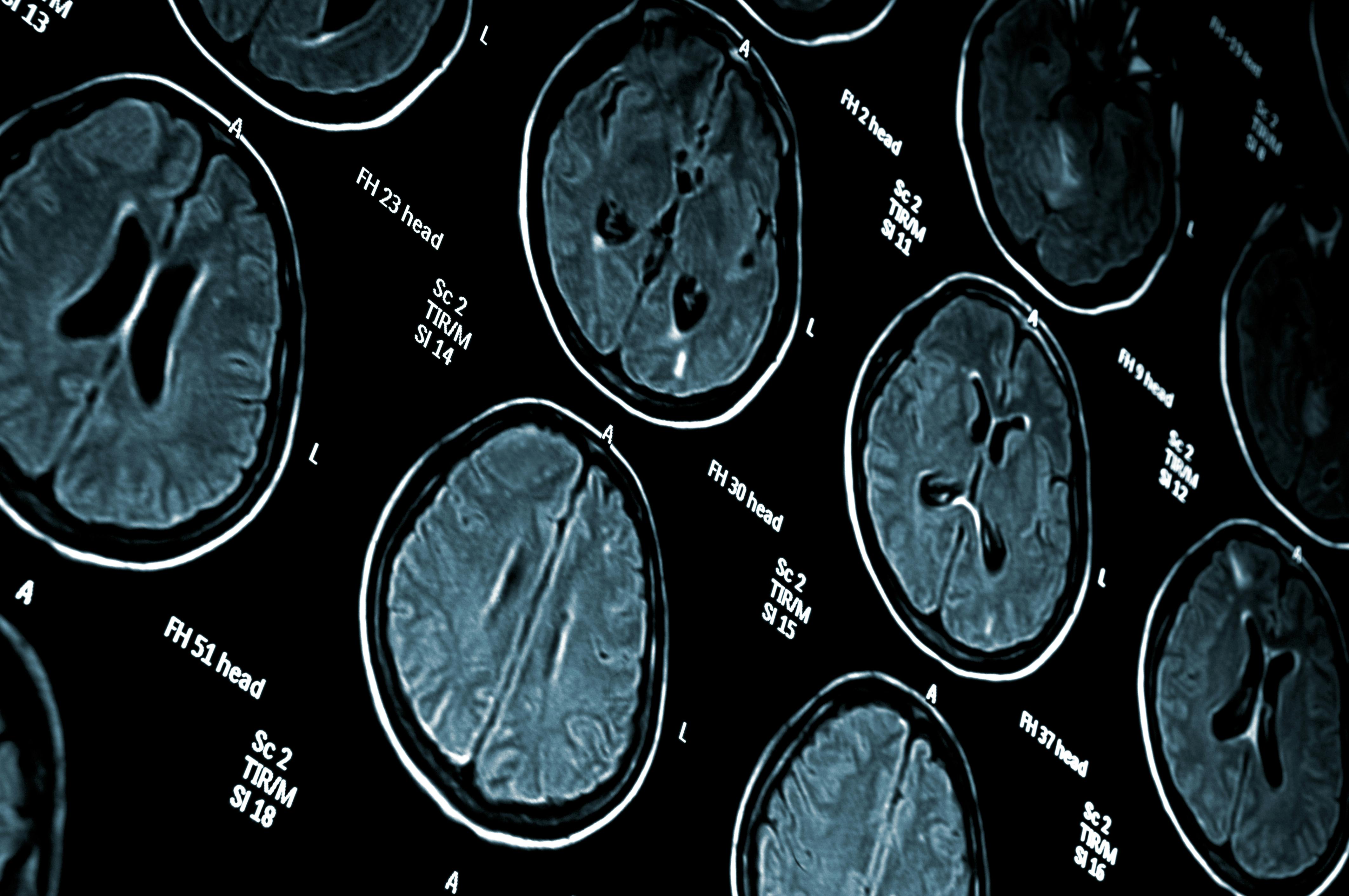
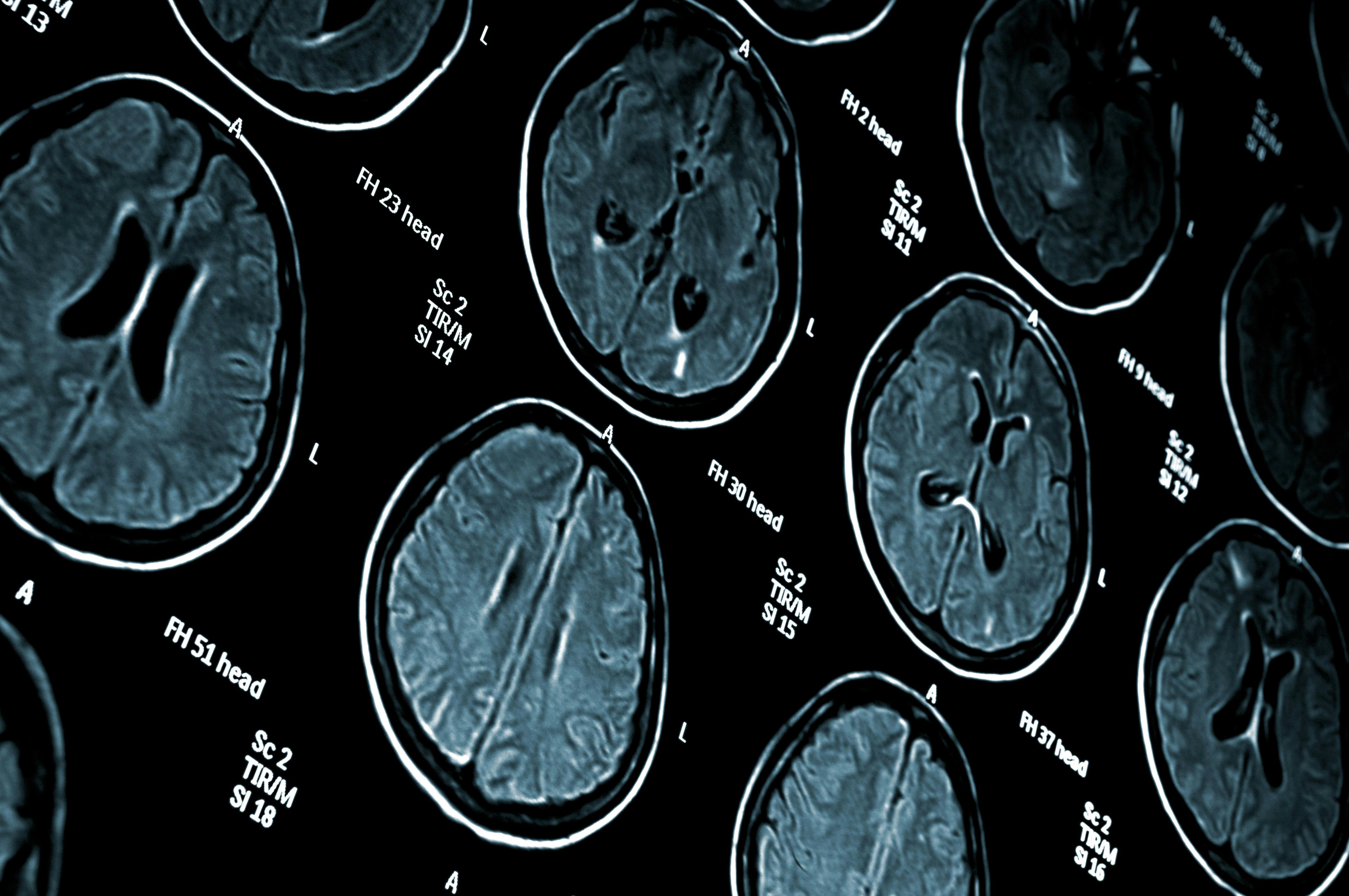
Black patients underwent medical imaging for cognitive impairment years later than white and Hispanic patients and were less frequently tested with MRI, according to research being presented this week at the annual meeting of the Radiological Society of North America (RSNA).
Previous studies have shown that Black patients are at increased risk of Alzheimer’s disease and other types of dementia. They are less likely to have a diagnosis and are diagnosed at a more advanced stage of disease compared to white patients.
Medical imaging—ideally with MRI—plays an increasingly important role in the diagnostic work-up of cognitive impairment. However, it is unknown how disparities in imaging access may lead to these delays in cognitive impairment diagnoses.
“If disparity in obtaining access to neuroimaging is one possible barrier that delays diagnosis, it is important to identify this and figure out possible solutions to benefit these patients and prevent a delayed diagnosis,” said study lead author Joshua Wibecan, M.D., radiology resident at Boston Medical Center in Boston, Massachusetts.
RSNA has the full press release.
