TB vaccine accelerator council to be established by WHO
The adverse impact of the COVID-19 pandemic on tuberculosis (TB) services has brought the urgency of vaccine development efforts into sharp focus. Speaking earlier at a high-level panel on TB at the World Economic Forum, Dr. Tedros Adhanom Ghebreyesus, Director-General of the World Health Organization, announced plans to establish a new TB Vaccine Accelerator Council.
The Council will facilitate the licensing and use of effective novel TB vaccines catalyzing high-level alignment between funders, global agencies, governments, and end users in identifying and overcoming barriers to TB vaccine development.
“One of the most important lessons from the response to the COVID-19 pandemic is that innovative health interventions can be delivered fast if they are prioritized politically and financed adequately”, said Dr. Ghebreyesus. “The challenges presented by TB and COVID-19 are different, but the ingredients that accelerate science, research and innovation are the same: urgent, up-front public investment; support from philanthropy; and engagement of the private sector and communities. We believe the TB field will benefit from similar high-level coordination.”
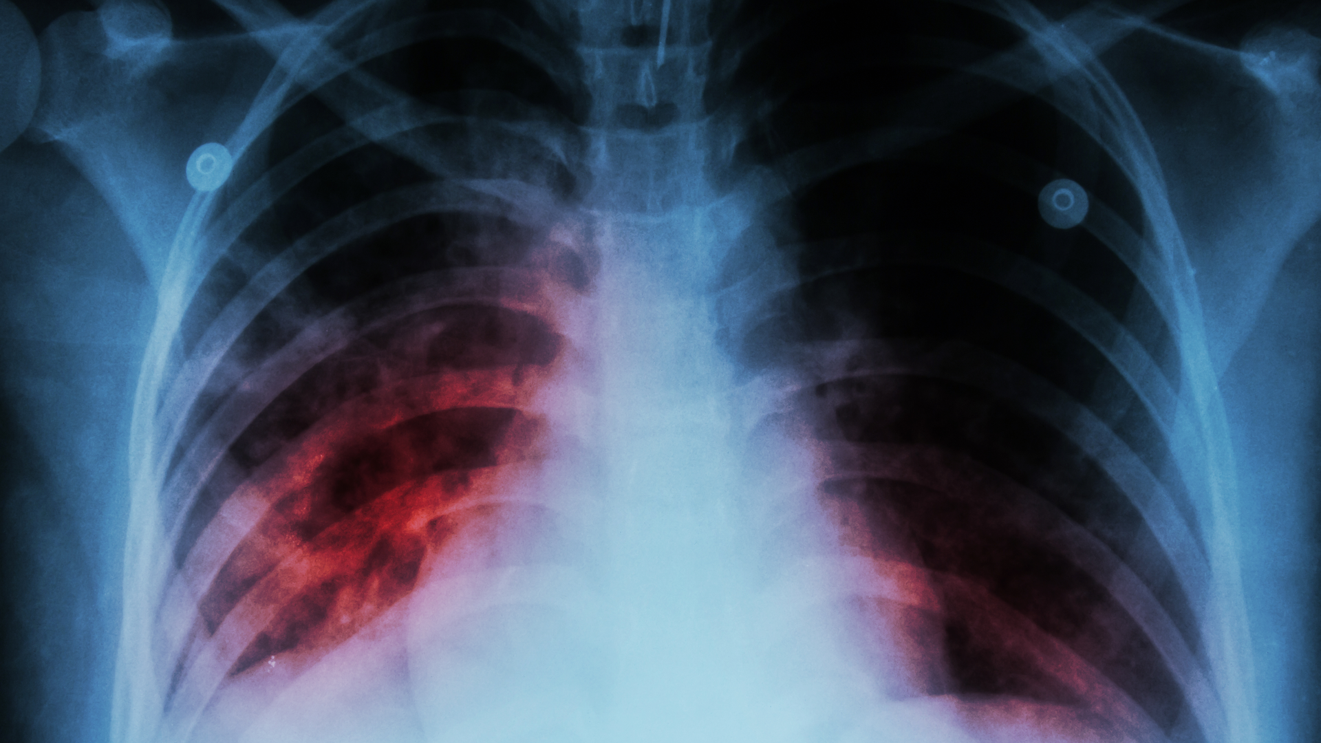
Despite countries making bold commitments to end TB by 2030, in the Sustainable Development Goals, the WHO End TB Strategy, and the 2018 political declaration on the fight against TB, the epidemic shows no sign of slowing down. In 2021, approximately 10.6 million people fell sick with TB, and 1.6 million died. Drug-resistance continues to be a major problem with close to half a million people developing drug-resistant TB every year.
BCG is currently the only licensed TB vaccine. While it provides moderate efficacy in preventing severe forms of TB in infants and young children, it does not adequately protect adolescents and adults, who account for close to 90% of TB transmissions globally.
A recent WHO commissioned study estimates that, over 25 years, a vaccine that is 50% effective in preventing disease among adolescents and adults could avert up to 76 million new TB cases, 8.5 million deaths, 42 million courses of antibiotic treatment, and US$ 6.5 billion in costs faced by TB-affected households, especially for the poorest and most vulnerable.
A vaccine that is 75% effective could avert up to 110 million new TB cases and 12.3 million deaths. The study further suggests that every U.S. dollar invested in a 50%-effective vaccine could generate an economic return of U.S. seven dollars in terms of averted health costs and increased productivity.
Later this year, heads of states and governments will meet for a second United Nations High-Level Meeting on TB to review progress against commitments made in the 2018 political declaration. This presents an important opportunity to correct setbacks in the TB response, which includes the urgent development and delivery of new TB vaccines.
