Minimally invasive laser ablation procedure prevents seizures for most epilepsy patients
Physicians from 11 hospitals across the U.S. performed minimally invasive laser ablation on 234 epilepsy patients and found that the majority were seizure-free, according to a recent study reported by laser ablation device maker Monteris.
The study, published in Epilepsia, is the largest cohort to date of the laser procedure. The patients ranged in age from 7 to 82, and retrospective review demonstrated the persistence of the outcomes: 58 percent of patients were classified as Engel 1 on the Epilepsy Surgery Outcome Scale, meaning they are free of disabling seizures, at both one and two years post-procedure. Eighty percent of patients were classified as Engel 1 or 2, meaning they were seizure-free or almost seizure-free at two years.
Nearly one million people in the United States are estimated to suffer from epileptic seizures that are not controlled by anti-epileptic drugs and patients with epilepsy have a mortality rate that is three times higher than the general population and may experience significant side effects from medication.
“People who fail two or three medications may be candidates for epilepsy surgery, and yet only one or two percent are being considered. Patients with drug resistant epilepsy benefit from surgery while also reducing their risk of sudden unexpected death in epilepsy (SUDEP),” said Dr. Patrick Landazuri, an epileptologist at The University of Kansas Health System’s Level 4 Epilepsy Center and an associate professor with the Department of Neurology at the University of Kansas Medical Center. “Minimally invasive surgical techniques can expand patients’ choices as they consider what treatments they would prefer for their drug resistant epilepsy.”
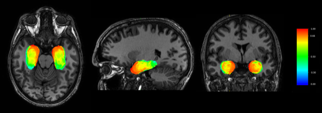
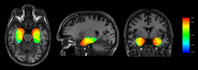
The study is also the first to assess impact of the surgical technique of laser ablation on outcomes in these patients, using a unique imaging approach. “We hope that the model we developed can help advise surgeons in their surgical planning and approach, thereby improving results for these patients even further,” said Pierre-François D'Haese, Research Assistant Professor of Electrical Engineering at Vanderbilt University, in a statement. D’Haese is also the chief executive officer of Neurotargeting, LLC, which led the development of CranialCloud, a unique HIPAA-compliant, social-network-like platform that allowed each of the members of this study to share clinical data in a virtual, de-identified environment to conduct the study.

