AI may predict viral outcomes of patients, including COVID-19
Researchers at University of California San Diego School of Medicine used an artificial intelligence (AI) algorithm to sift through terabytes of gene expression data — which genes are “on” or “off” during infection — to look for shared patterns in patients with past pandemic viral infections, including SARS, MERS and swine flu, reported the university.
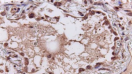
Two telltale signatures emerged from the study, published in eBiomedicine. One, a set of 166 genes, reveals how the human immune system responds to viral infections. A second set of 20 signature genes predicts the severity of a patient’s disease. For example, the need to hospitalize or use a mechanical ventilator. The algorithm’s utility was validated using lung tissues collected at autopsies from deceased patients with COVID-19 and animal models of the infection.
“These viral pandemic-associated signatures tell us how a person’s immune system responds to a viral infection and how severe it might get, and that gives us a map for this and future pandemics,” said Pradipta Ghosh, MD, professor of cellular and molecular medicine at UC San Diego School of Medicine and Moores Cancer Center.
During a viral infection, the immune system releases small proteins called cytokines into the blood. These proteins guide immune cells to the site of infection to help get rid of the infection. Sometimes, though, the body releases too many cytokines, creating a runaway immune system that attacks its own healthy tissue. This mishap, known as a cytokine storm, is believed to be one of the reasons some virally infected patients, including some with the common flu, succumb to the infection while others do not. But the nature, extent and source of fatal cytokine storms, who is at greatest risk and how it might best be treated have long been unclear.
The data used to test and train the algorithm came from publicly available sources of patient gene expression data — all the RNA transcribed from patients’ genes and detected in tissue or blood samples. Each time a new set of data from patients with COVID-19 became available, the team tested it in their model. They saw the same signature gene expression patterns every time.
By examining the source and function of those genes in the first signature gene set, the study also revealed the source of cytokine storms: the cells lining lung airways and white blood cells known as macrophages and T cells. In addition, the results illuminated the consequences of the storm: damage to those same lung airway cells and natural killer cells, a specialized immune cell that kills virus-infected cells.
