Philips announces advances in imaging for head and neck cancers
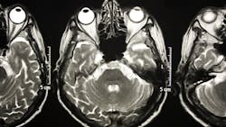
Royal Philips has announced two new advances in MR-only workflows to advance head and neck cancer radiotherapy imaging and simulation. The company’s artificial intelligence (AI) enabled MRCAT Head and Neck radiotherapy application, which allows the use of MR as the sole or primary imaging modality for radiotherapy planning in the treatment of soft tissue tumors in the head and neck, along with the brain, pelvis and prostate, has received FDA 510(k) clearance and is commercially available in the U.S.
As a result of a recent development partnership with patient-positioning company MacroMedics, Philips has also announced compatibility of MacroMedics’ latest DSPS (Double Shell Positioning System) ProminentTM positioning system [1] with Philips MR Head Neck Coil. This unique solution combines the superior soft tissue imaging capabilities and the high-resolution image quality of Philips’ head and neck coil with the comfort-enhancing and positional accuracy and stability features of MacroMedics’ mask. These developments aim to improve the accuracy of radiotherapy planning and simulation to help achieve better patient outcomes, enhance patient comfort, and offer the efficiency benefits of an MR-only workflow.
“With this innovative mask that fits into Philips’ head coil, we expect to acquire head and neck images for radiotherapy planning with diagnostic image quality and improved patient comfort,” said Marielle Philippens, Associate Professor, MRI for Radiotherapy at University Medical Center Utrecht (Utrecht, The Netherlands), who is currently using the integrated Philips and MacroMedics solution.
“The superior soft tissue imaging of MR together with advances in the integration and orchestration of data, including the use of artificial intelligence, promise greater clarity and less subjectivity in planning radiotherapy for head and neck cancer,” said Ilya Gipp, Chief Medical Officer Oncology Solutions at Philips. “Our collaboration with MacroMedics to develop a patient-friendly mask system compatible with our high-resolution dStream imaging coils highlights Philips’ commitment to providing the precision tools needed for the localization and characterization of difficult-to-treat tumors.”
